健康促进
科普在线 | 警惕猝死风险!冠脉CTA,为您的心脏健康“保驾护航”
近日,某教育领域知名人士张某某因突发心脏病猝然离世,令人扼腕叹息。心脏疾病从不是“遥不可及”,猝死可能就隐藏在我们忽视的细节里。
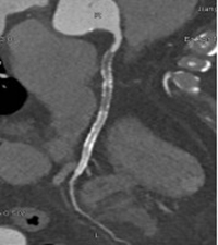
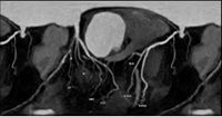
冠脉CTA检查是排查心脏隐患、防范猝死风险的重要手段,也是我们了解自身心脏状况的便捷选择。
很多人一听“CTA检查”就担心麻烦,怕遭罪。其实,冠脉CTA检查很便捷,无需住院,体检和门诊均可预约,只需简单空腹,控制好心率即可,整个过程仅需10—20分钟,无痛无创伤,就像做一次普通CT一样轻松。
检查后,很快就能出具影像诊断结果,清晰呈现心脏血管真实状况,能让隐患无所遁形。

哪些人需要做冠脉CTA检查呢?
1.长期熬夜,过度疲劳、缺乏运动的上班族应主动排查风险;
2.心理焦虑,有胸闷、胸痛、心慌、气短等不适症状的人,必须及时检查;
3.有高血压、高血脂、糖尿病、肥胖、长期吸烟等危险因素的人群,属于心脏疾病高发群体,建议定期筛查。
通过冠脉CTA,能清晰地看出多种心脏相关疾病:
最常见的是冠状动脉粥样硬化,也就是常说的“血管变窄”;
还能发现血管内的斑块,判断斑块的大小和稳定性,预警心肌梗死;
还能排查冠脉畸形、血管闭塞等,为临床治疗提供精准依据。





猝死,从来不是“突然发生”,而是长期隐患的爆发。
在此提醒大家:身体出现不适,别硬扛、别拖延,尽快做冠脉CTA检查;查出问题及时治疗,切勿侥幸;即使检查无异常,也需养成规律作息、清淡饮食、适度运动的习惯,守护好心脏健康。
参考文献
1. 中华医学会心血管病学分会. 冠状动脉CT血管成像适用标准中国专家共识(2024版)[J]. 中华心血管病杂志,2024, 52(02): 115-126.
2. 国家卫生健康委员会. 冠状动脉CT成像临床应用指南(2021年版)[J]. 中国医学影像学杂志,2021,29(5):321-327.
3. 中华医学会心血管病学分会. 《冠心病诊断与治疗指南》2020年版[J]. 中华心血管杂志,2020,48(10):867-880.
本文不构成任何医疗建议
就医请遵医嘱







